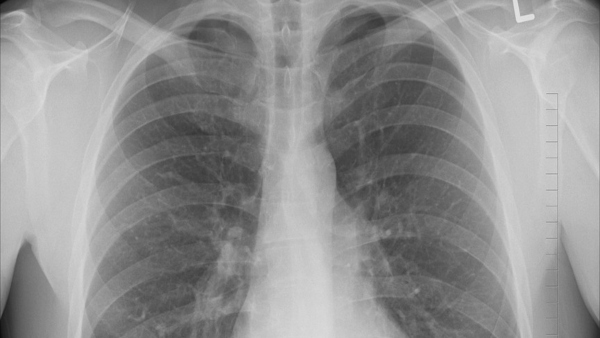
রক্তের পর এবার জীবিত মানুষের ফুসফুসে মিলল প্লাস্টিকের কণা, উদ্বেগ বাড়ছে ক্রমশঃ
রক্তের পর এবার জীবিত মানুষের ফুসফুসে প্ল্যাস্টিকের কণা পাওয়া গিয়েছে। বিশ্লেষণ করা প্রায় সব নমুনায় কণা পাওয়া গেছে বলে প্রকাশিত এক গবেষণার রিপোর্টে এ তথ্য জানানো হয়েছে। গবেষণাটি প্রকাশিত হয়েছে সায়েন্স অফ টোটাল এনভায়রনমেন্ট জার্নালে।

বিজ্ঞানীরা জানিয়েছেন যে প্লাস্টিক কণার দূষণ এখন পুরো পৃথিবীকে গ্রাস করেছে। মানুষ দেহও এখন এই দূষণ থেকে নিরাপদ থাকছে না। এতে 'স্বাস্থ্যের জন্য ঝুঁকির বিষয়ে ক্রমশ উদ্বেগ বাড়াচ্ছে।’ অস্ত্রোপচারে যাওয়া ১৩ জন রোগীর দেহ থেকে বিজ্ঞানীরা নমুনা কোষ সংগ্রহ করেছিলেন। সেই ১৩ জনের থেকে ১১ জনের দেহেই ক্ষুদ্র প্লাস্টিক কণা পেয়েছেন গবেষকরা।
প্রাপ্ত কণাগুলোর মধ্যে সবচেয়ে সাধারণ হচ্ছে, পলিপ্রোপিলিন, যা প্লাস্টিক প্যাকেজিংয়ে ব্যবহৃত হয় এবং লিইথিলিন টেরেফথালেট, যা বোতল তৈরিতে ব্যবহৃত হয়। এর আগের দুটি গবেষণায় ফুসফুসের কোষে একইভাবে উচ্চ হারে প্লাস্টিক কণা পাওয়া গেছে। ইতিমধ্যে প্রাপ্ত তথ্য অনুযায়ী, শ্বাসের মাধ্যম ছাড়াও খাদ্য ও পানীয়ের মাধ্যমে মানুষের দেহে প্লাস্টিকের ক্ষুদ্র কণা প্রবেশ করে বলে জানা গিয়েছিল। উচ্চ মাত্রার প্লাস্টিক কণার সংস্পর্শে থাকা শ্রমিকরা এর ঝুঁকিতে থাকে সবচেয়ে বেশি।
মার্চ মাসে প্রথমবারের মতো মানুষের রক্তে প্লাস্টিক কণা সনাক্ত করা হয়েছিল। পরীক্ষায় দেখা গেছে, কণাগুলো শরীরের ভেতরে ভ্রমণ করতে পারে এবং অঙ্গগুলোতে সংযুক্ত থাকতে পারে। স্বাস্থ্যের উপর এর প্রভাব এখনও অজানা। গবেষণার পরিচালক লরা সাডোফস্কি বলেছেন, 'আমরা ফুসফুসে যে সংখ্যক কণা বা যে আকারের কণা খুঁজে পেয়েছি তা আশা করিনি। এটি বিস্ময়কর, কারণ ফুসফুসের নিচের অংশে শ্বাসনালীগুলো ছোট এবং আমরা আশা করেছিলাম এই আকারের কণাগুলো এতোটা গভীরে যাওয়ার আগে পরিশোধন হয়ে যাবে বা আটকে যাবে।’
প্রসঙ্গত, মানবদেহে প্রবাহিত রক্তেও পাওয়া গিয়েছে প্লাস্টিক। এই গবেষণায় অন্তত ৭৭ শতাংশ মানুষের রক্তে মাইক্রোপ্লাস্টিকের ক্ষুদ্র কণা পাওয়া গিয়েছে। মাইক্রোপ্লাস্টিক হল প্লাস্টিকের ক্ষুদ্রাদিক্ষুদ্র কণা যার ব্যাস ০.২ ইঞ্চি বা ৫ মিলিমিটারের কম। এর আগে, মানব মস্তিষ্ক, অন্ত্রে, মলে মাইক্রোপ্লাস্টিক পাওয়া গেলেও, এই প্রথম মানুষের রক্তেও মিলল মাইক্রোপ্লাস্টিক। যা, অত্যন্ত ভয়ঙ্কর আবিষ্কার বলে জানাচ্ছেন বিজ্ঞানীরা।
-
আরও একটি সাপ্লিমেন্টারি ভোটার তালিকা প্রকাশ করল নির্বাচন কমিশন, আর কত নাম নিষ্পত্তি হওয়া বাকি? -
বাংলায় ভোট পরবর্তী হিংসা রুখতে অনির্দিষ্টকালের জন্য থাকবে কেন্দ্রীয় বাহিনী -
ভোটের আগেই কমিশনের কড়া নির্দেশ! অনুমতি ছাড়া জমায়েত নয়, নিয়ম ভাঙলেই গ্রেফতার, রাজ্যজুড়ে জারি কঠোর নির্দেশ -
দাগি নেতাদের নিরাপত্তা কাটছাঁট কতটা মানল পুলিশ? স্টেটাস রিপোর্ট চাইল নির্বাচন কমিশন -
যুদ্ধ পরিস্থিতির মাঝেই বড় রদবদল! মার্কিন সেনা প্রধানকে সরাল ট্রাম্প প্রশাসন, কারণ কী, জল্পনা তুঙ্গে -
আরও একটি মার্কিন F-35 যুদ্ধবিমান ধ্বংসের দাবি ইরানের, কী বলছে আমেরিকা? -
এপ্রিলে শক্তিশালী ত্রিগ্রহী যোগ, শনি-সূর্য-মঙ্গলের বিরল মিলনে কাদের থাকতে হবে সতর্ক? -
এপ্রিলেই বাড়ছে গরমের দাপট! আগামী সপ্তাহেই ৪-৬ ডিগ্রি সেলসিয়াস তাপমাত্রা বাড়ার আশঙ্কা, কী জানাচ্ছে হাওয়া অফিস -
পশ্চিম এশিয়ার যুদ্ধের প্রভাব! শিল্পে ধাক্কা, একলাফে বাড়ল ডিজেলের দাম, কত হল? জানুন -
পুর-নিয়োগ দুর্নীতি মামলায় ভোটের আগে তৃণমূলের দুই হেভিওয়েট নেতাকে ইডির তলব -
পশ্চিম এশিয়ায় যুদ্ধ! MRI Scan-এর খরচ আকাশছোঁয়া হতে পারে, বিপাকে পড়তে পারেন রোগীরা -
অমিত শাহের রাজ্যে থাকার ঘোষণায় তীব্র কটাক্ষ মমতার, বললেন, যত বেশি থাকবে, তত ভোট কমবে












Click it and Unblock the Notifications